Metal-free

Estruturas livres de metal altamente resistentes e estéticos

Metais

Maiores qualidades: Resistência à oxidação, corrosão e compressão

Prótese Total

Reabilitam as funções principais da dentição natural: mastigação e fala

Placas

Em silicone para clareamento, protetores esportivos e placas para ronco e apnéia

Prótese parcial removível

Repor os dentes perdidos, e preservar e proteger as estruturas remanescentes

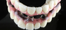
Prótese fixa

Próteses unitárias ou múltiplas, retidas nos próprios dentes ou por implantes

Laboratório Maioral

Sobre o laboratório

O Laboratório Maioral foi fundado em 2005 e é especializado em próteses dentárias e tem como objetivo oferecer um produto final de qualidade e adequado tanto ao paciente quanto ao profissional.

Seguimos todos os padrões de qualidade (ISOX) e entregamos as peças sempre de forma a atender as necessidades de tempo de entrega do profissional com custo adequado. O técnico responsável pelo laboratório e também dentista-chefe da clínica odontológica é Marcus Maioral.

Saiba mais

Trabalhos em destaque

Confira alguns dos trabalhos que já foram entregues com a qualidade e eficiência do nosso laboratório.

Informações

Rua Raiz da Serra, 50 - Jabaquara
São Paulo - SP | 04347-010

+55 11 97525-0194

Atendimento: segunda à sexta-feira
Horário: das 9h às 18h.